Purentaklinikan hoidot

Row wavy Shape Decorative svg added to bottom

Purukalustomme toimii tärkeässä roolissa pysyäksemme hengissä.

Hammaslaakari Yrjo Niemi profiilikuva

Purennan toiminnan monet haasteet innoittavat minua. Tässä purentaklinikka osiossa haluan kertoa sinulle tarkemmin purentavaivoista, niiden syntysyistä ja korjausmenetelmistä. 

- Yrjö Niemi, hammaslääkäri, Oral Hammaskeskus Tampere

PURENTA SYNTYY USEISTA TEKIJÖISTÄ

Elämän aikana purennassa tapahtuu luonnollisia muutoksia.  Syitä purennan ja leuan rakenteiden muutoksiin, hampaiden asentoihin ja purennan tarkkuuteen on useita.

Hampaat ovat mekaanisesti osa pään luustoa ja muut kudokset, kuten lihakset ja nivelet ovat osa laajaa,  toiminnallista ketjua niskan ja kaulan kautta aina kehoomme alaspäin.
Rakenteet purukalustossa kasvavat ja vahvistuvat iän myötä. Ikääntyessämme tapahtuu lisäksi muita muutoksia. Paitsi perinnölliset, mutta myös jokaisen omat tavat vaikuttavat purukaluston käyttöön ja kehitykseen. Mm. hampaiden hoitohistoria, elämäntavat (kuten mm. purkan pureskelu tai jatkuva napostelu) erilaiset traumat, fyysiset sairaudet ja psyykkiset tekijät, ovat näitä muuttujia.

MUUTOKSET AJAN MYÖTÄ OVAT YKSILÖLLISIÄ, KUTEN HOIDON TARPEETKIN

Valtaosa pään ja kaulan monista kudoksista on jollain tavalla mukana purennassamme , niinpä tehtäväkenttä on laaja; sisältäen luuston, lihasten, nivelten, limakalvojen, hampaiden, sylkirauhasten ja hermoston tuntemukset sekä niiden yhteistoiminnan häiriöineen.

Joillekin purennan muutokset voivat olla esteettinen ja toisille myös toiminnallinen ongelma.

Yleisimmät purentavaivat

Tutkimme ja hoidamme päivittäin mm. kovan yönarskuttelun halkomia, vihlovia hampaita ja jomottelevia leukaperiä. Haljennut takahammas on usein kipeä tai terävä. Etuhampaan lohkeama voi lisäksi olla ruma.

Haasteet ovat monet. Kuluminen hampaissa on luonnollista iän tuomana ilmiönä, aivan kuten muuallakin kehossamme joudumme sen huomaamaan. Suhtautuminen tapahtuviin muutoksiin vaihtelee. Monet haluavat puuttua varhaisessa vaiheessa muutoksiin, ennen kuin ne aiheuttavat enempää haittaa ja hoidon tarvetta. Toisille taas ominaisempaa on hoitaa ongelmia vasta sitten, kun ne aiheuttavat ylitsepääsemätöntä vaivaa.

 

TYYPILLISIMPIÄ PURENTAVAIVOJA

Hampaissa

  • kuluneet hampaat
  • purressa vihlovat tai kylmän arat hampaat
  • lohkeama
  • ikenen kipua
  • heiluva hammas
  • hampaiden muoto on muuttunut vinoksi tai hampaiden reunoissa on säröjä

Kasvon alueen lihaksiin liittyvät, kasvokivut

  • posken, hampaiden, silmän seudun, korvanseudun jomottelua tai tuntohäiriöitä
  • kivuliaita teräviä vihlaisuja, sähköiskuja tai pistelyä/nykimistä poskilla, kaulalla ja niskassa
  • suun avaamisen tai leuan liikuttamisen jäykkyyttä ja arkuutta

Niveliin liittyviä kipuja

  • klonksahdukset, naksetta, rahinaa
  • suu ei aukea
  • leuka avautuu vinoon tai ei liiku toiselle puolelle
  • hampaat eivät mene kiinni niin kuin yleensä

Limakalvoihin ja ikeniin liittyvät vaivat

  • haavaumat poskilla ja/tai kielessä
  • haavaumat ienrajoissa
  • ientulehdus
  • suupielen tulehdus
hammaslaakari Yrjo Niemi purentaklinikka

Miksi hoidon aloittamista viivytetään? 

Kokemukseni mukaan hoitamatta jättämistä tai sen siirtämistä tapahtuu hoidon epämiellyttävyyden, viitseliäisyyden ja/tai kustannusten vuoksi.

Purentaelimen eli leukojen alueella saattaa olla monenlaisia tuntemuksia.

Koska varsin pienellä alueella on monia, samaan aikaan päällekkäin ja yhdessä toimivia kudoksia, on oireiden syy joskus vaikeaa määrittää, ellei kyseessä ole vaikkapa selkeä lohkeama hampaassa. Hiemankin haastavampien ongelmien ilmaantuessa huolellinen monipuolinen tutkiminen on aina tarpeen; liikutaanhan aina kriittisellä, pään alueella.

Hampaiden valkaisu, hampaiden tummentumat


KORTTI
TIESITKÖ?SUUSSA KÄYTETTÄVÄT VOIMAT OVAT KOVIA.
“Rajuimpia voimia syntyy tapaturmissa.Yöbruxauksessa eli yöllä tapahtuvassa hampaiden kiristelyssä hampaisiin kohdistuu myös äärimmäisen kovia voimia. Jopa ehjät, muutoin hyväkuntoiset hampaat saattavat haljeta. Purennan ja muiden muuttujien rasittamien hampaiden vaurioihin liittyy monia oireita.”

LUE TÄMÄ JOS SINULLA ON ONGELMIA HAMPAISSA

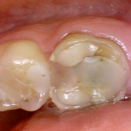
Purennasta johtuen hampaisiin syntyy kulumia ja joskus halkeamia. Kovien pitkäaikaisten purentavoimien vaikutuksesta myös hampaiden muoto muuttuu. Muodon muutos aiheuttaa purennasta syntyvien voimien uudenlaista suuntautumista, mikä altistaa hampaistoa lisävaurioille.
Usein varsinkin amalgaamilla paikatut hampaat ovat paikan alta halki jo pelkästään metallin ja lasimaisen hampaan erilaisten fysikaalisten ominaisuuksien takia. Siihen kun vielä lisätään vuosikymmenten pururasitus ja hampaan kulumisen aiheuttamien muodon ja voimien muutos, niin ei hampaiden halkeaminen kovinkaan suuri ihme ole.
Kuluneet, muotonsa menettäneet ja usein jo vuosikymmeniä rasitetut hampaat ovat lohkeamisalttiita sekä samoin jo vuosikymmeniä treenatut puremalihakset ovat erittäin vahvat. Tässä yhtälössä hampaat silloin tällöin joutuvat joustamaan halkeamalla heikoimmasta kohdastaan.

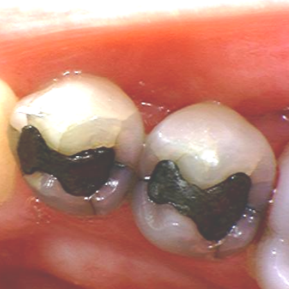
TIESITKÖ TÄMÄN AMALGAAMISTA?
AMALGAAMILLA paikatut hampaat ovat paikan alta halki jo pelkästään metallin ja lasimaisen hampaan erilaisten fysikaalisten ominaisuuksien takia. Amalgaamia on käytetty hampaiden paikkauksessa lähes 200 vuotta.

Hampaisiin voi syntyä lohkeamia, syvempiä halkeamia ja kulumia, jotka voivat myös antaa teräviä sähköiskuja tai myös tympeitä vaivoja. Esimerkiksi hammasvälien lohjetessa, saattaa ruokaa pakkautua hampaiden väliin aiheuttaen ikenen jomottavaa tulehtumista, reipasta verenvuotoa ja lisäksi reikiintymistä.
Jos terävää vihlontaa hampaaseen tulee purressa, voi jokin rakenne hampaassa olla irti. Syynä voi olla irronnut paikka tai puremisesta haljennut hammas. Purupinnalle voi myös kiilteen puhki kuluttua syntyä vihlova kohta.
Joskus kylmänarkuus-oireet taas johtuvatkin rajusta hampaiden harjauksesta ja häviävät käsittelemällä ienrajat siihen kehitetyillä aineilla.
Harjausvaurion aiheuttama syy eli usein parempi hampaiden harjaustekniikka tulee silloin ottaa ohjelmaan.

 

Vatsahappoisuuden, syljen vähyyden, kasvisruoan ja mm. happamien urheilujuomien myötävaikutus nopeuttaa hampaiden vaurioitumista. Mm. jatkuva purkan jauhaminen kuluttaa hampaita ja paikkoja.
Myös urheillessa kovat puruvoimat ja traumat aiheuttavat omat haasteensa.

energiajuomat syöpyneet hampaat

Purennasta rasittuneet hampaat voivat olla ikeniltäänkin arkoja ja heiluvuus lisääntynyttä.
Myös bakteerien aiheuttama ientulehdus yhdessä haitallisten purentavoimien kanssa myötä vaikuttaa hampaan kiinnitystuhoon ja pitääkin siksi ottaa myös ienhoidoissa huomioon.

LUE TÄMÄ JOS SINULLA ON EPÄMÄÄRÄISIÄ KASVON ALUEEN KIPUJA

Jokaisella viimeistään nelikymppisellä ihmisellä on joskus ollut ainakin pienempi kolotus jossain lihaksessaan.
Yleensä kyseessä lihas, johon on kertynyt kuona-aineita johtuen lihaksen kovasta tai pitkään kestäneestä rasituksesta. Nämä kuona-aineet aiheuttavat arkuutta ja joskus särkyjä.
Kasvoilla, leuassa, niskassa ja kaulassa meillä on paljon lihaksia, jotka ovat liki koko päivän käytössä.
Laajan lihasketjun osana toimivat eri puremalihakset ovat useimmilla käytössä myös öisin. Monet puree hampaitaan yöllä tiedostamattaan niin rajusti, että siitä syntyy paitsi liiallista painetta lihaksille ja monenlaisia erilaisia vaurioita sekä oireita myös hampaisiin ja muualle purentaelimeen.
Lihasjumien kehittyessä pahemmaksi, voi tuloksena olla jopa ns trismus, eli puremalihasten kova kipeä kramppi, joka ei päästä suuta aukeamaan. Syynä trismukseen voi olla myös vaarallinen hampaan tai nielun infektio. Tilanne tuleekin tutkia ja hoitaa tehokkaasti ja heti.
Pienempien kasvojen lihasten krampit voivat tuntua poskilla, kaulassa tai niskassa häiritsevinä esimerkiksi nipistelyinä, nykimisinä, sähköiskuina, jumeina ja arkuuksina.
Väsynyt lihas ei toimi täydellä potentiaalillaan ja on vaurioaltis.

Vastaanotolla käy päivittäin potilaita, joilla lihakset ovat kosketusarat.
Arkuuden syynä on siis lihasten liiallinen käyttö siihen nähden, miten elimistö on kykenevä puhdistamaan niitä kovasta käytöstä johtuvasta "maitohaposta" eli lihastyön aiheuttamista aineenvaihdunnan kuona-aineista.
Potilailla ei välttämättä ole mitään vaivoja ylirasittuneisiin lihaksiin liittyen, ja hyvä niin; asiallehan ei silloin välttämättä tarvitse tehdä mitään.

Liki joka päivä kuitenkin tapaan myös ihmisiä, joilla on liialliseen hampaiden kiristelyyn liittyviä erilaisia vaivoja. Hampaathan ovat varsin herkkiä ja koska suun aluetta on kasvoillamme laajasti, löytyy liki jokaisen lihasvaivankin vierestä, eri puolilla kasvoja, joku hammas. Onkin varsin yleistä, että lihasten vaivat tuntuvat selkeästi tulevan jostain vieressä olevasta hampaasta. Potilaille tuntuu usein alkuun olevan hieman turhauttavaa kuulla se sinänsä hyvä uutinen, ettei hampaista löydykään mitään vikaa, vaan oire taitaa olla lihasperäinen.

LUE TÄMÄ JOS TUNTUU ETTÄ VAIVOJA ON LEUKAA LIIKUTELTAESSA KORVAN SEUDULLA

Alaleuka niveltyy kallossa korvan viereiseen nivelkuoppaan. Myös ylä-ja alahampaat niveltävät keskenään. Leukanivelten, lihasten, hampaiden ja muiden tukikudosten avulla leuka pysyy varsin tarkasti totutulla paikallaan niin, että ylä- ja alahampaat osuvat aina toisiinsa sopivasti, tuottaen yleensä tukevan ja mukavan vaivattoman purentatoiminnon.

Nivelen toiminta on varsin monimutkaista ja siihen voi vaihtelevien voimien myötä kehittyä vuosien saatossa muutoksia.

Lihakset liikuttavat leukaa laajasti kaikkiin suuntiin ja leuan liikkeitä ohjaa lisäksi mm. leukanivel ja hampaat, joita taas ohjaa monipuolinen hermosto systeemimme ja suussa oleva pureskeltava.

Nivelissäkin on useita kudoksia.

Välilevy ja sen vauriot liittyvät yleensä nivelen naksahduksiin. Nivelvälilevy voi olla pois paikaltaan pysyvästi tai väliaikaisesti.

Myös jos leuan liike on rajoittunut, voi syynä olla välilevyn haasteet.

Klonksahdukset taas johtuvat usein lihasten ja nivelten pitkän liikeketjun hienomotoriikan järkkymisestä lihasten rasittumisen myötä.

Välilevyn lisäksi myös lihaskrampit voivat estää suun aukeamisen. Myös nivelpinnan rusto saattaa joskus kulua, mistä seuraa omat rahinat ja vihlonnat. Reuma ja muut niveliin vaikuttavat sairaudet antavat myös omat ongelmansa. Samoin kuin ehkä jo unohtuneet traumat nivelalueilla.

LUE TÄMÄ JOS POSKELLA TAI IKENELLÄ TUNTUU UUSI HAAVAUMA TAI ARISTUS

 

Hampaiden yönarskuttelijoilla tai -kiristelijöillä on poskilla usein painaumat eli ns puruvallit. Ne johtuvat tiukoista öisistä paineista limakalvoilla. Myös kielen reunaan kehittyy usein painaumajäljet ja syntyy ns. piparkakkukieli. Nämä limakalvojen painaumat saattavat jäädä ajoittain hampaiden väliin, varsinkin kuivasuisilla ihmisillä.

Yönarskuttelun, bruksisimin tuloksena piparkakkukieli

- monilla epämääräisiä, purennallisia oireistoja potevilla potilailla on ienrajassa limakalvolla haavaumia kovasta harjauksesta johtuen. Arvelen sen johtuvan huolesta, ettei ole tullut hoidettua jomottelevia hampaita riittävän hyvin ja sitten oireiden tultua on päätetty maksaa velka takaisin ja oltu jo vähän turhan rajuja harjauksessa.

 

Ienkivut voivat olla myös ihosairauden, palohaavan tai vaikka harjan tai tikun aiheuttamia. Joskus kyseessä on ientulehdus, halkeama hampaan juuressa, märkivä hampaan juuri tai kipeistä lihaksista säteilevä jomotus. Kuvassa näkyy märkivä ien, jonka syyksi paljastui hammasimplantin tulehdus. 

Märkivä ien

Myös muut sairaudet voivat säteillä ikenien alueille.

Tyypillinen purennallinen ienongelma on se, kun yönarskuttajan kulunut hammas on lohjennut tai siirtynyt, hampaiden väli on näin auennut ja sitten väliin pakkautuu ruokaa, joka tulehduttaa ikenen.

Usein potilaat valittavat vihlovia hampaita. Purupinnan kulumat ovat usein syynä, varsinkin puruaroissa hampaissa.

Kulunut purenta madaltaa hampaita jolloin koko purennan korkeus laskee eli nenän kärjen ja leuankärkhen etäisyys pienenee. Samalla kasvoilla suupielen poimu syvenee ja siihen saattaa syntyä tulehdus.

LUE TÄMÄ JOS POHDIT UNIAPNEAKISKOA

Uniapnea liittyy nenänielun ja hengityksen toimintaan.
Nielun anatomiaan unen aikana voidaan puuttua uniapneakiskolla, joka asemoi alaleukaa hieman eteenpäin. Monet saavat siitä apua ongelmiinsa.

Edellä lueteltuja oireita voi esiintyä monista muistakin kuin purennallisista syistä. On tärkeää oivaltaa, miksi vaikkapa moneen kertaan paikatun poskihampaan seutuun liittyy aina vaan ajoittaista jomottelua, vaikka tutkien hampaasta ei löydy mitään vikaa. Aina pitää pitää mielessä myös muut syyt, jotka saattavat vain säteillä purukaluston alueelle.

Usein tutkimuksessa tosiaan ei oireisen tuntuisesta hampaasta löydy reikää, ienrajassa ei ole vihlovaa vetäymää, hammas on elossa eikä mitenkään yliherkkä kylmälle tai kuumalle. Koputellenkaan ei arkuutta löydy, ien on kunnossa ja purentapaperilla ei löydy sivuliikkeistä ongelmaa eikä RTG-kuvassakaan löydy mitään.
Potilaan valittaessa jotain tiettyä hammasta, usein pinnan alla, hieman sivussakin, piilossa olevat lihakset unohtuvat. Samoin paikkojen alla piilottelevat halkeamat ovat näkymättömissä RTG-kuvillekin ja antavat omat haasteensa.
Joskus oire tuntuu välillä vaihtavan paikkaa. Silloinkin salapoliisin systemaattista tutkimus tapaa ja kokemustaan käyttäen syy vaivaan kyllä lopulta löytyy.
Monet potilaat ovat kertoneet käyneensä oireiden vuoksi myös korva-, nenä- ja kurkkulääkärillä sekä neurologilla.
Oireet, joille ei pään alueella löydetä selitystä, aiheuttavat syvää huolta potilaille jostain vakavammasta sairaudesta. Siksi oireiden syy olisi tärkeää aina löytää, vaikka oireet vaimenisivatkin ajoittain kevyemmäksi.

HOIDOT PURENTAVAIVOIHIN

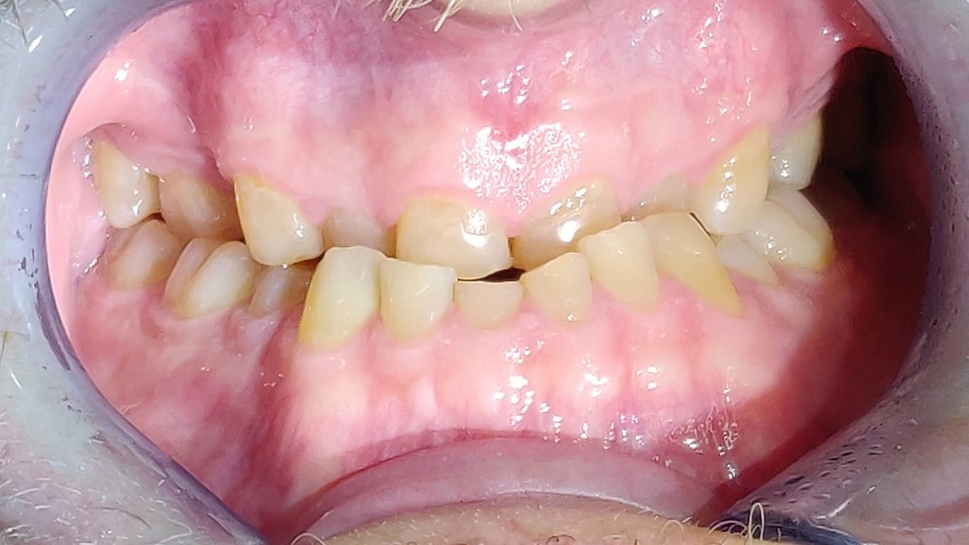
On paljon hammasvaivoja, joihin on olemassa helppojakin hoitoja. Asiantuntevalta hammaslääkäriltä saat hammastarkastuksessa analyysin oman suusi terveydestä. Tässä kuvassa potilaan vaivana oli purressa lohkeavat hampaat. Kyseessä oli kuluneiden hampaiden väärään asentoon ohjaama (eli ristipurentaan) purenta ja sen myötä syntyneet lisävauriot, kulumat ja lohkeamat. Nämäkin hampaat hoidettiin kuntoon, suun terveys palautui ja ilmeestä tuli entistä ehompi, raikas ja hurmaava. Lue koko purentahoidon eteneminen tästä ja katso hämmästyttävät kuvat ennen ja jälkeen. 

purentavirhe, ristipurenta

 

Hampaan lohkeamaan auttaa hampaan paikkaus tai terävyyden hionta pois.

Vihlonta hampaassa on jo hieman monimutkaisempi, koska syitä vihlonnalle voi olla jo useampia. Siksi tilannetta kannattaa jo tutkia hieman enemmän.
Samoin särkyjen, jomottelujen ja muiden oireiden kanssa.

Joskus oireen poistava hoito riittää.
Yleensä olisi järkevää hoitaa myös syytä oireelle tai esimerkiksi lohkeamalle, jotta saman syyn takia purukalusto ei enää vaurioituisi myöhemmin enempää.

Hampaistoa vaurioittaa eniten suussa elävät bakteerit ja suussa käytettävät purentatavoimat.
Molempiin tekijöihin on olemassa hoito , joka pysäyttää "taudin".

Bakteerit voidaan esimerkiksi pesta suusta pois, jolloin reikiä tai ientulehdusta ei enää voi tulla.
Jos hampaiden pesun laatua ei kuitenkaan vaivauduta kehittämään (yhdessä ammattilaisen kanssa) jatkaa tauti etenemistään.
Reikiintymiselle on meillä toki muitakin hoitoja, jos vaikkapa invaliditeetti tai viitseliäisyys estää huolellisen pesun.
Esimerkiksi reikiintyvien hampaiden paikkaus ei oikeasti ole sairauden hoitoa, vaan jo syntyneiden vaurioiden korjaamista. Syy reikiintymiselle pitäisi myös poistaa, koska kyseessä on samaan aikaan muitakin hampaita tuhoava sairaus.
Hampaita kuluttaville voimillekin on olemassa hoitoja.
Hampaita voidaan suojata ja lihasvoimia voidaan rauhoittaa yökiskolla. Jomottelevia lihaksia voidaan hoitaa fysioterapialla, kiskolla, kivunhoidolla. Myös purennan tasapainottaminen hionnoilla, kiskolla ja tarvitessa muotoillen kuluneita alueita paikkamateriaaleilla saattaa auttaa.

Ikääntyvällä väestöllämme on nykyään hampaat suussa koko iän ja ne kuluvat joka päivä ja monilla myös yöllä.
Kauneusihanteet näyttelevät suurempaa roolia vaateissamme ja hampaidenkin ulkonäkö on enemmän tapetilla vaatien ehostamista.

Kaikkiin vaivoihin löytyy onneksi apua kunhan syyt vaivoihin ja toiveet tavoitteisiin on kartoitettu.
Purennan tasapainottaminen, jumppailu, purentakisko ja purennan korotus ovat konsteja, joilla saadaan merkittävää apua hampaiden purennallisiin ja esteettisiin haasteisiin.

kauniit valkoiset hampaat ja hymy esteettisen hammashoidon tulos